图解 牙桥 牙冠 牙托 牙贴 这些牙科用具是如何帮助我们拥有完美牙齿的 问上医

你真的了解烤瓷牙搭桥是怎么一回事吗 知乎

牙橋價格要多少 會很難清潔嗎 一篇為你完整解答

1

缺牙要植牙還是做牙橋 做牙橋會牙齦腫痛 裝牙橋優缺點 清潔保養看這篇
閒聊 超級不爽的看牙經驗 文長 Womentalk板 Disp Bbs

門牙斷裂別慌處理方法大解析 勤美悠植牙醫診所 痞客邦

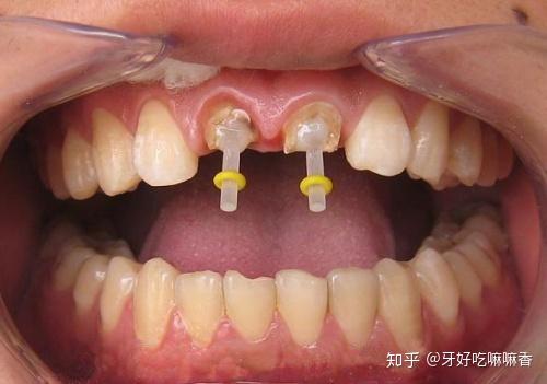
烤瓷牙的基牙烂掉了 该怎么办 知乎

缺牙要植牙還是做牙橋 做牙橋會牙齦腫痛 裝牙橋優缺點 清潔保養看這篇

牙橋壽命長不長 牙橋掉下來你該怎麼辦 林錫奎牙醫師 台北牙醫推薦假牙專家打造堅固的美齒
不良烤瓷牙展示 烤瓷牙边缘严重不密合 牙科答疑 看牙有道 佛山南海王琪牙科博客